
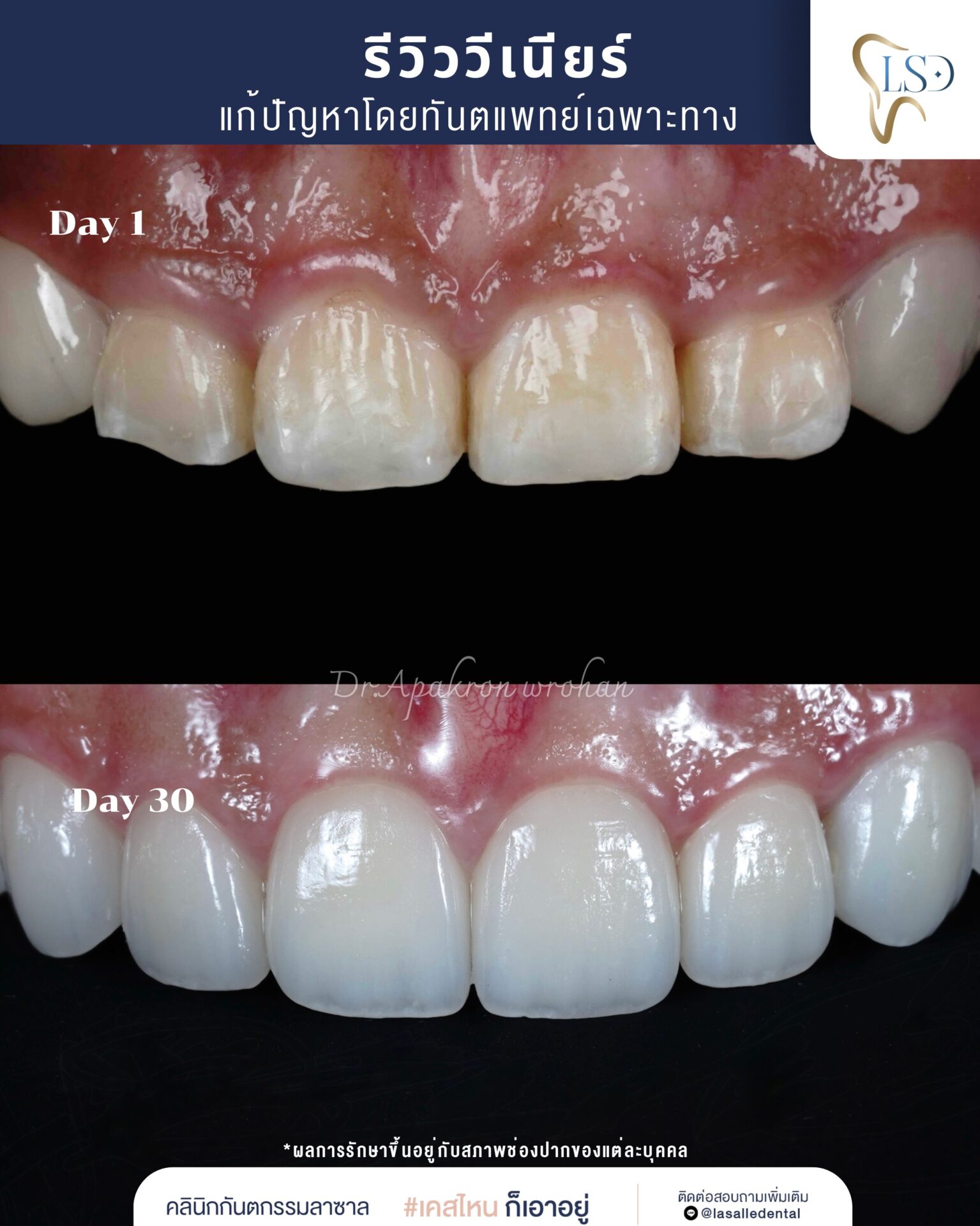
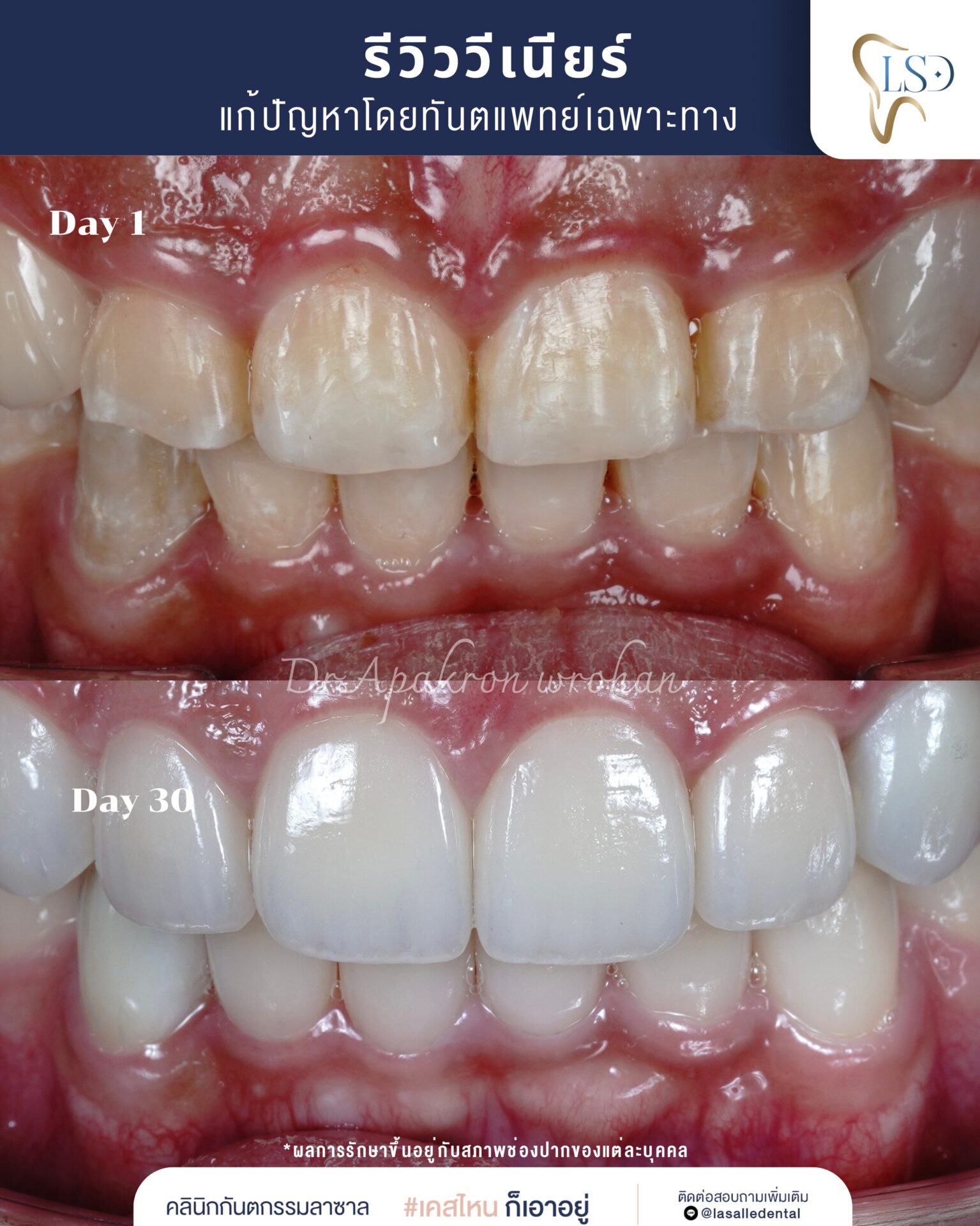
วีเนียร์ คือการเคลือบฟันโดยใช้เซรามิกบางใสที่ถูกทำขึ้นตามสรีระฟันของแต่ละคน โดยทันตแพทย์จะแปะวีเนียร์ที่ผิวด้านหน้าของฟัน ทำให้สีฟันสม่ำเสมอและเรียงตัวสวยงามเป็นระเบียบ นอกจากนี้คุณสมบัติพิเศษของการทำวีเนียร์ฟัน คือปกป้องฟันจากคราบชา กาแฟ และบุหรี่ โดยตัววัสดุเอง สามารถเกาะยึดผิวฟันได้เป็นอย่างดี ทำให้ฟันดูเป็นธรรมชาติ หากเทียบกับการตกแต่งฟันแบบอื่น ๆ






คุณจ๊ะจ๋า เคยจัดฟันมาแล้ว แต่ตอนนั้นไม่ได้รักษาร่วมกับการผ่าตัดขากรรไกร ทำให้หลังจัดฟันเสร็จยังมีปัญหาเรื่องใบหน้าเบี้ยวอยู่ คุณหมอที่คลินิกแนะนำว่า วีเนียร์ สามารถช่วยปรับรอยยิ้มและช่วยให้ใบหน้าดูสมส่วนขึ้นได้ พอคุณหมอเข้ามาตรวจละเอียด ก็พบเพิ่มเติมว่าเรามีปัญหาฟันตกกระร่วมด้วย เลยได้วางแผนแก้ไขให้ครบทั้งหมดในครั้งเดียว คุณหมอที่นี่เชี่ยวชาญ และ ใส่ใจมาก รู้สึกดีมากที่ตัดสินใจมาปรึกษาที่นี่
คุณพรมเพชร ทำงานเป็น Butler ก่อนหน้านี้รู้สึกไม่มั่นใจเวลาพูดคุยกับผู้คนเพราะมีปัญหาเรื่องฟัน ทั้งรูปร่างฟันไม่เท่ากัน ฟันเรียงตัวไม่สวย ดูงุ้ม และสีฟันก็ค่อนข้างเหลือง ทำให้ไม่กล้ายิ้มเลย รู้สึกว่าใบหน้าดูไม่ friendly เท่าที่ควร ซึ่งส่งผลกับงานโดยตรง จนตัดสินใจเข้ามาปรึกษาที่คลินิกทันตกรรมลาซาล และเลือกทำ เซรามิกวีเนียร์ กับคุณหมอแน้ม เพราะเป็นคุณหมอเฉพาะทางด้านนี้โดยตรง ที่สำคัญคือได้ดูรีวิวมาแล้ว เห็นผลลัพธ์ชัดเจน แถมราคาก็จับต้องได้ ไม่แรงอย่างที่คิด ตอนนี้รู้สึกมั่นใจขึ้นเยอะเลยครับ ยิ้มได้เต็มที่ และภาพลักษณ์ในการทำงานก็ดูดีขึ้นมาก

จัดการฟันผุและหินปูน พิมพ์ฟันเพื่อไปขึ้นแบบโมเดลขี้ผึ้ง

กรอและแต่งผิวฟันเพื่อเตรียมพื้นที่รองรับชิ้นวีเนียร์

ตรวจสอบสีและรูปร่างวีเนียร์ นำชิ้นวีเนียร์ติดลงผิวฟัน

คุณหมอจะนัดพบเมื่อใส่วีเนียร์ครบ 1-2 อาทิตย์
50/695-696 ข้างตลาดดวงพลอย ลาซาล 33-35 ถ.สุขุมวิท105 บางนา พระโขนง กทม. 10260
บิ๊กซี สมุทรปราการ 498/1 ห้อง GCR119 ถนนสุขุมวิท ตำบลปากน้ำ อำเภอเมือง สมุทรปราการ จังหวัดสมุทรปราการ 10270
1164 ซ.วชิรธรรมสาธิต46 (โครงการLotus go frseh) ถ.สุขุมวิท101/1 แขวงบางจาก เขตพระโขนง กทม. 10260